Imagerie complémentaire en radiologie
Le médecin vasculaire après vous avoir examiné, peut juger qu’il est nécessaire de réaliser différentes explorations complémentaires indiquées en fonction de votre état de santé et des données de ses examens.
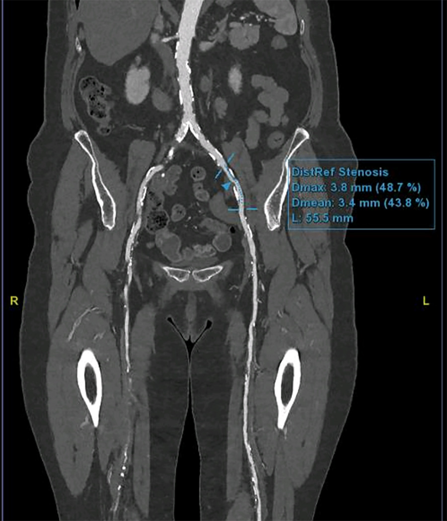
Scanner et Angio-scanner
Le scanner est un examen radiologique utilisant les rayons X, qui permet d’obtenir des images en 3 dimensions de différents organes du corps ; l’angioscanner analyse les vaisseaux de l’organisme, artères et veines, après injection intraveineuse d’un produit de contraste iodé.
Comment ça se passe ? le patient est allongé sur la table de radiologie, qui se déplace lentement sous un arceau ; il faut rester parfaitement calme et immobile, le patient est en contact audio avec les équipes médicales qui sont derrière une vitre.
Les images sont analysées par ordinateur avant d’être interprétées par le médecin radiologue.
Certaines situations médicales peuvent nécessiter des précautions, toutes les informations sont données au préalable.
Cet examen permet une analyse fine des vaisseaux, et vient le plus souvent en complément d’un échodoppler initial qui aura mis en évidence des anomalies vasculaires
IRM et Angio-IRM
IRM signifie imagerie par résonnance magnétique ; c’est un examen qui utilise des ondes magnétiques, à l’aide un gros aimant ; l’angio-IRM permet l’analyse des gros vaisseaux au niveau cérébral, au niveau du cou ou de l’abdomen, mais aussi des petites artères dans les jambes. Les vaisseaux seront visualisés après injection intraveineuse d’un produit de contraste
La technique est très performante, indolore et sans danger, et n’utilise pas de rayons X
Comment ça se passe
Le patient est allongé sur le dos, sur une table qui se déplace lentement ; les médecins et manipulateurs sont derrière une vitre et restent en contact vocal avec le patient. Un casque est mis en place sur les oreilles du patient pour ne pas être gêné par les bruits de la machine, et pouvoir communiquer avec les équipes médicales
Les images sont analysées par ordinateur avant d’être interprétées par le médecin radiologue.
Certaines situations médicales peuvent présenter des limites avec l’examen, toutes les informations sont données au préalable
Cet examen permet une analyse fine des vaisseaux, et vient le plus souvent en complément d’un échodoppler initial qui aura mis en évidence des anomalies vasculaires
Artériographie
Cet examen radiologique est historiquement l’examen de référence pour une étude précise des vaisseaux de l’organisme. Toutefois, compte tenu des progrès très importants réalisés par les techniques d’imagerie non invasive, celui ci est de moins en moins indiqué à visée diagnostique (c’est à dire sans traitement endovasculaire concomitant).
Ainsi, cet examen est actuellement réservé à la salle d’opération, et sera utilisé pendant l’intervention sur les axes artériels
Après injection du produit de contraste dans une artère, au pli de l’aine ou au niveau du poignet, les clichés de radio vont permettre d’analyser précisément le réseau artériel, et mettre en évidence des anomalies de rétrécissement, les réseaux de déviation (collatérales), et la distribution des artères sur des territoires difficiles à explorer, et peut aussi renseigner sur des zones hémorragiques
Une compression de l’artère est nécessaire après la ponction, et nécessite un repos de quelques heures
Phlébographie
Il s’agit là encore d’un examen radiographique, qui utilise du produit de contraste et des rayons X, afin d’opacifier les vaisseaux veineux, et les visualiser au mieux.
A quoi ça sert
Cet examen peut être indiqué pour rechercher des anomalies des veines dans le pelvis, afin d’identifier des pathologies vasculaires responsables de symptômes : varices, malformations…
Comment cela se passe
Dans le service de radiologie, une ponction est faite dans la veine fémorale au pli de l’aine et une injection de produit de contraste iodé est réalisée ; ensuite les clichés radiographiques sont réalisés
Une surveillance est réalisée dans les heures qui suivent, avant un retour à domicile
Partager
Reconstruction de l’aorte et des artères iliaques et fémorales en angioscanner

Salle d’IRM

